我的博文
如何消除切片中的裂隙
2025-11-20 15:26
阅读(57)
评论(1)
分类:随感
切片中存在的常见由切的不好产生的质量问题,切面太浅、切的不全,挫损、筛孔、皱褶、裂隙,刀痕,严格来说皱褶的产生是展片过程中产生的问题。
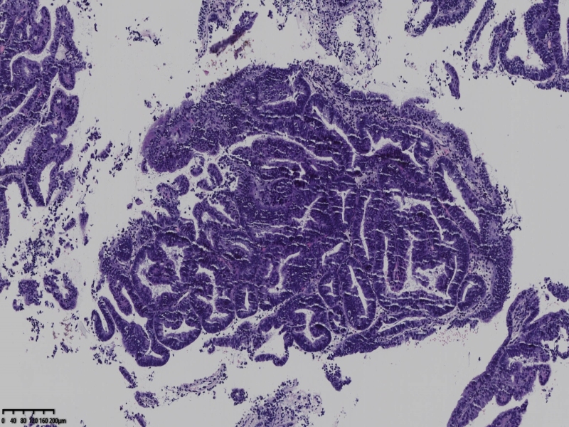
今天一个子宫内膜病变的病例
初次切片,
质量问题切面太浅,切面不全,更严重的问题是裂隙太多,有组织折叠。硬着头皮也可以诊断。因为要会诊就重切了一次。
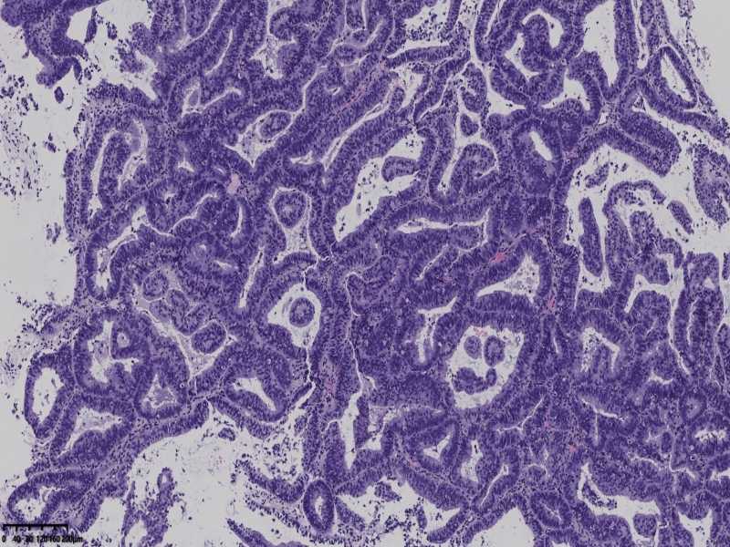
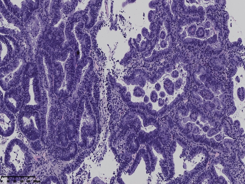
重切后制片质量较好。




重切后制片



有一次去县医院病理科,看见他们那里切片的时候,在切片机与漂烘仪之间还放了一个盛酒精的方盘,原来他们切片时先在酒精里展一次片,然后在水里展一次再捞片,叫做双展法。据说可以有效去除切片皱褶,我就很纳闷,去除切片皱褶,利用温水产生的张力就可以了,酒精展片纯属多此一举,而且我看他们的切片尤其是活检组织中裂隙太多。
消化道早癌筛查项目里有一项病理医师考试试卷,其中的镜下病例图片质量真是太差了,很多片子裂隙太多,我真不明白,这么重要的项目怎么就拿不出一张好的切片?
如何消除组织切片中的裂隙?我原来写过,也不想废话。因为也不会有人理会。
本文允许在互联网范围内转载,使用时请注明作者姓名、作品名称及作品来源。
上一篇:这个甲状腺肿瘤怎么看?
下一篇:睾丸鞘膜肿物伴鞘膜积液
我要评论
共0条评论