我的博文
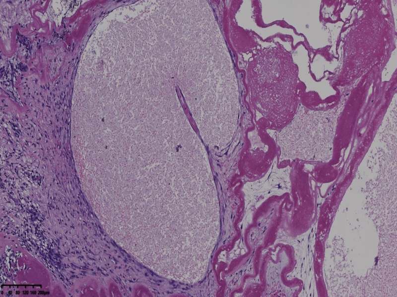
睾丸鞘膜肿物伴鞘膜积液
2025-11-19 09:10
阅读(36)
评论(0)
分类:男性生殖系统
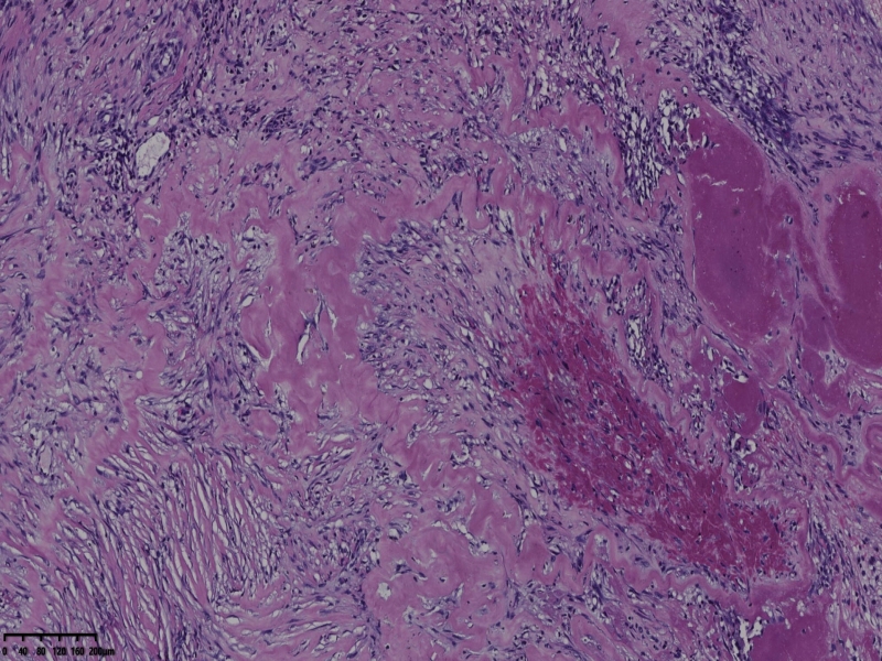
男、75岁。
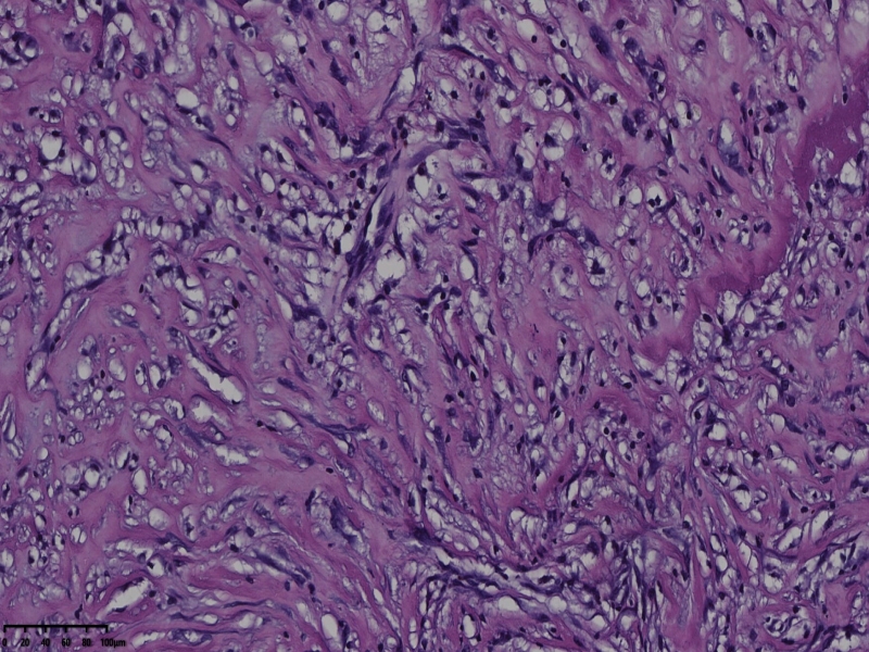
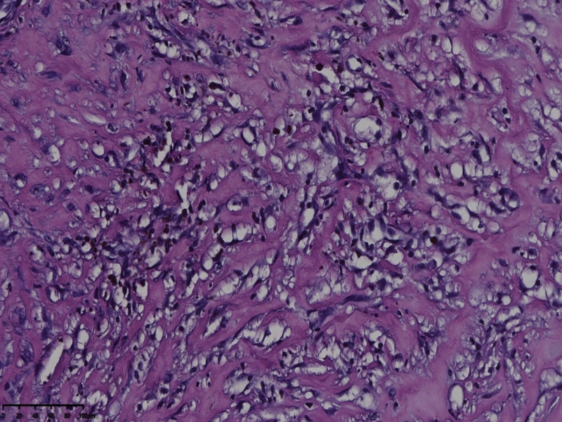
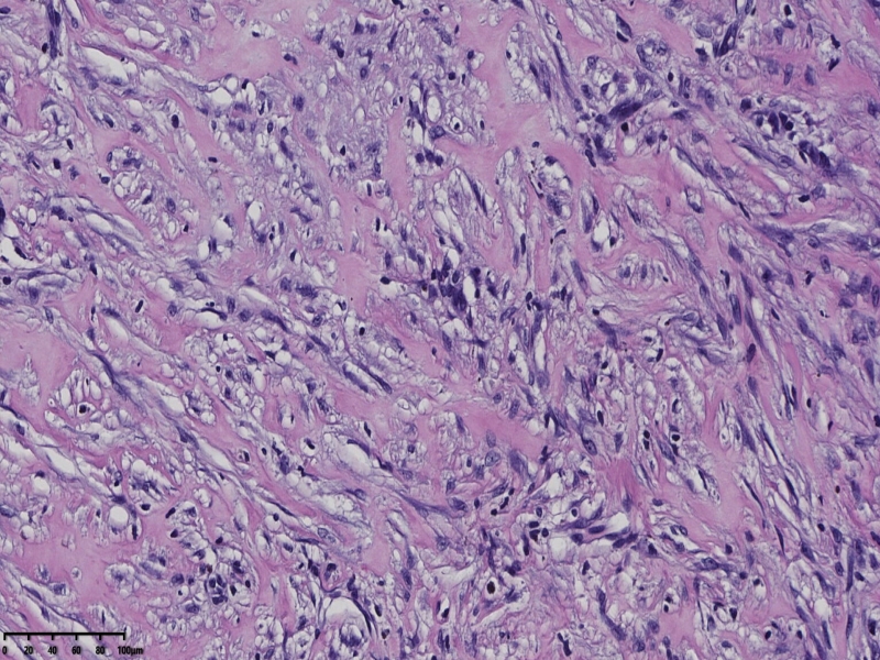
这是一个腺瘤样瘤,特殊的地方在于切面呈蜂窝状,
镜下可见瘤细胞胞浆丰富,可见泡沫,部分瘤细胞呈印戒样,纤维组织间隔,瘤组织中央血管增生扩张,组织梗死。






本文允许在互联网范围内转载,使用时请注明作者姓名、作品名称及作品来源。
上一篇:如何消除切片中的裂隙
下一篇:周日上班都忙啥
我要评论
共0条评论