我的博文
右卵巢肿物
2026-02-10 15:53
阅读(37)
评论(1)
分类:女性生殖系统卵巢
女、56岁,腹壁胀满疼痛半年入院。26747
彩超提示盆腔肿物,不规则囊实性肿物,囊性有间隔,其中可见略高密度影,体积约18*10*7厘米
大体标本

葡萄状多囊状肿物1个,体积约15*10*8厘米,囊壁后约0.1厘米,光滑,囊内可见灰黄粘液,囊肿之间可见实性区,体积约8*5*5厘米,切面黄色,实性,质地脆。
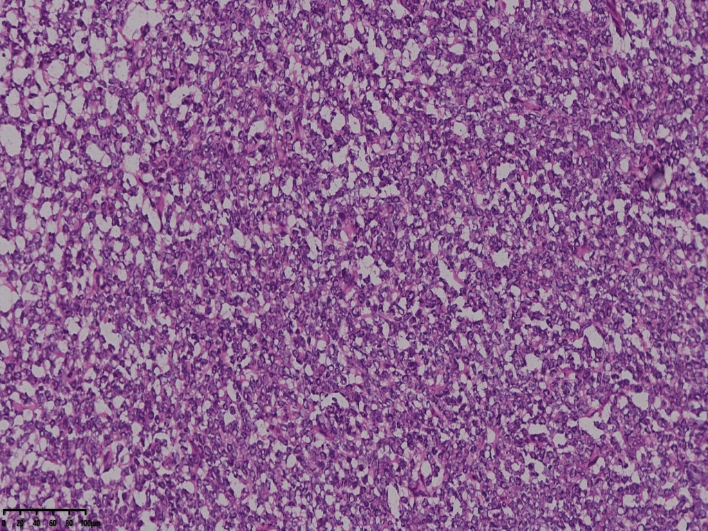
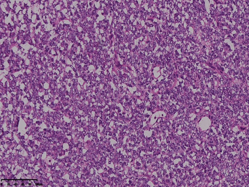
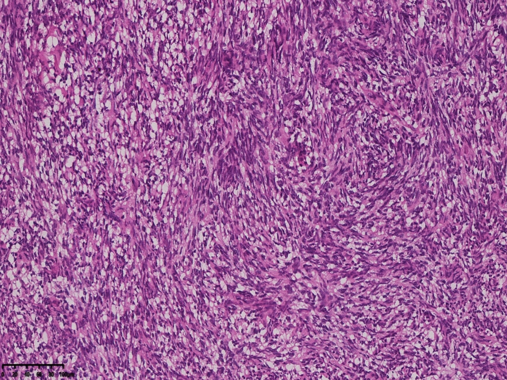
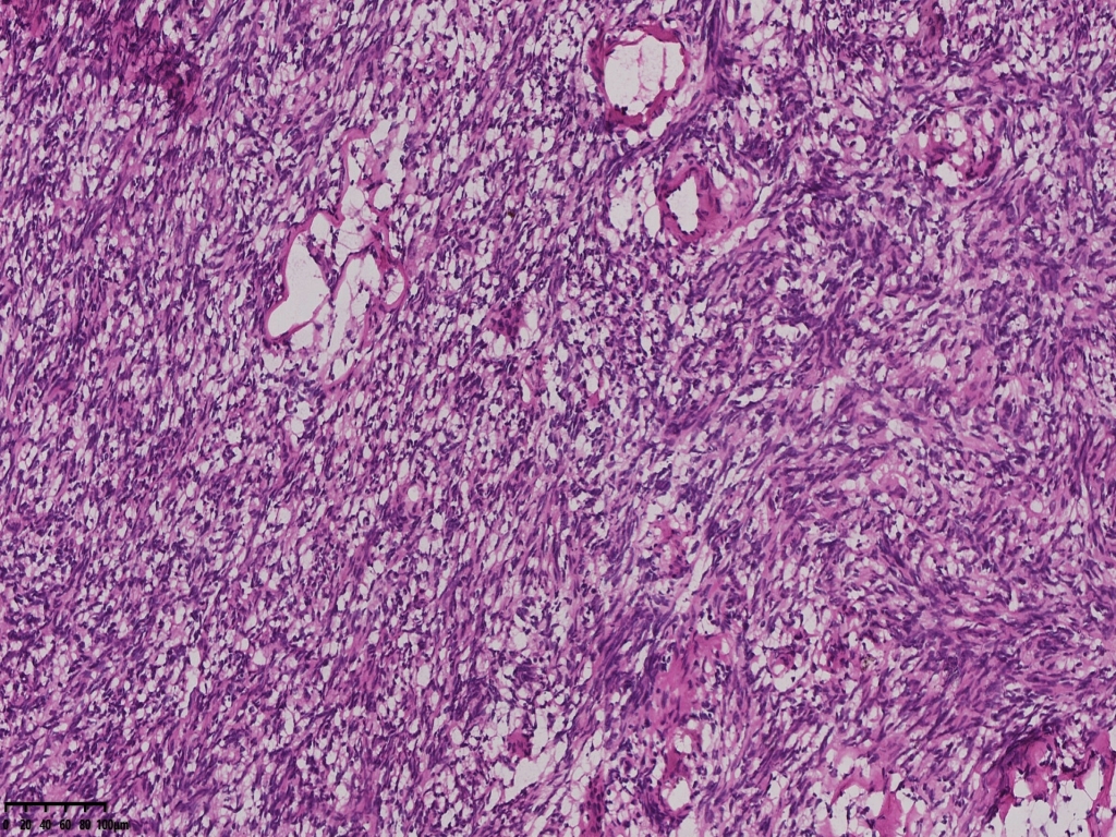
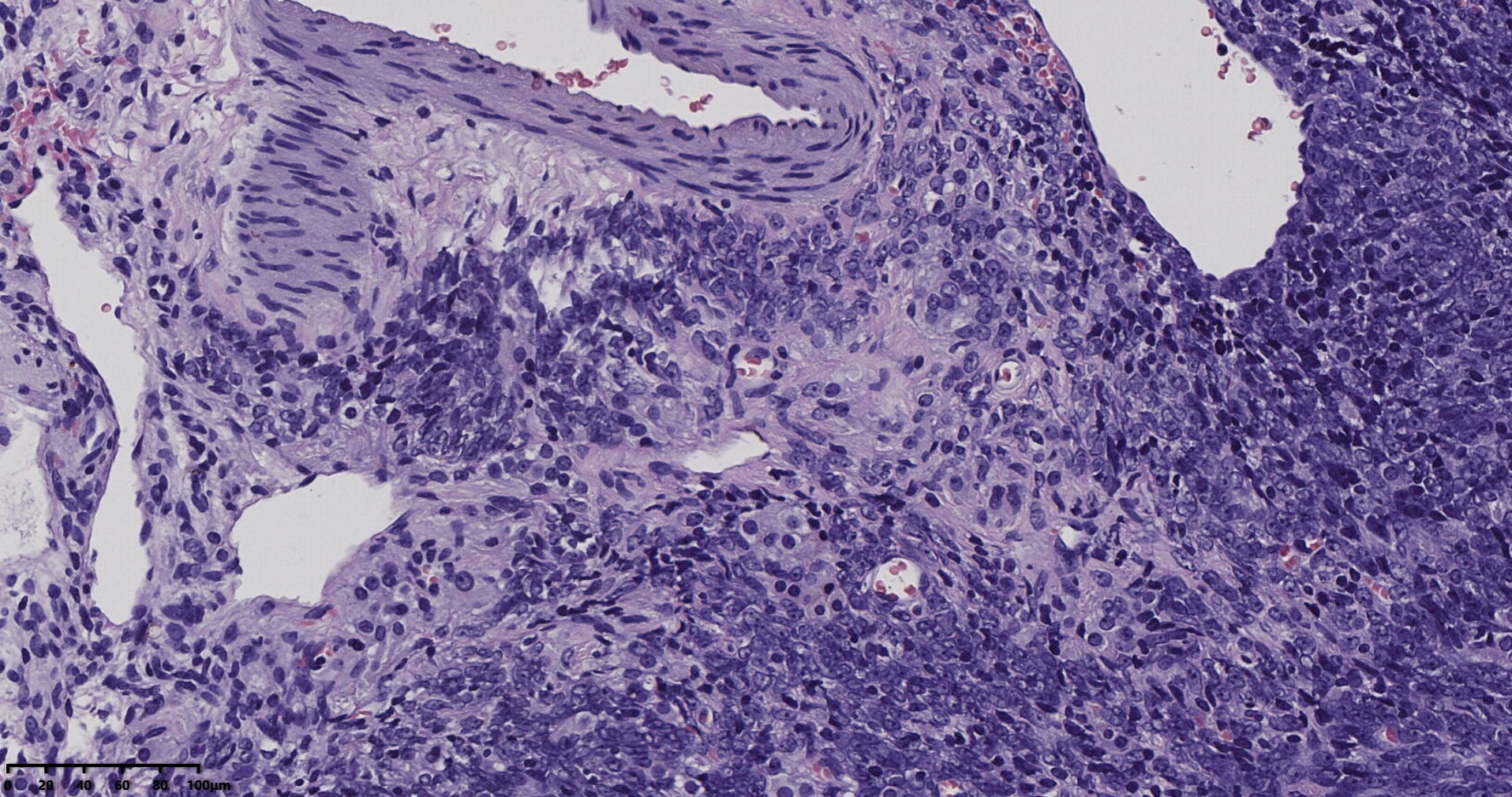
冰冻切片取两块实性区组织,其中1块可见梭形细胞为主,另一块似上皮样细胞,细胞丰富密集。
术中考虑卵巢性索间质来源肿瘤,待石蜡及免疫组化。

梭形

梭形细胞



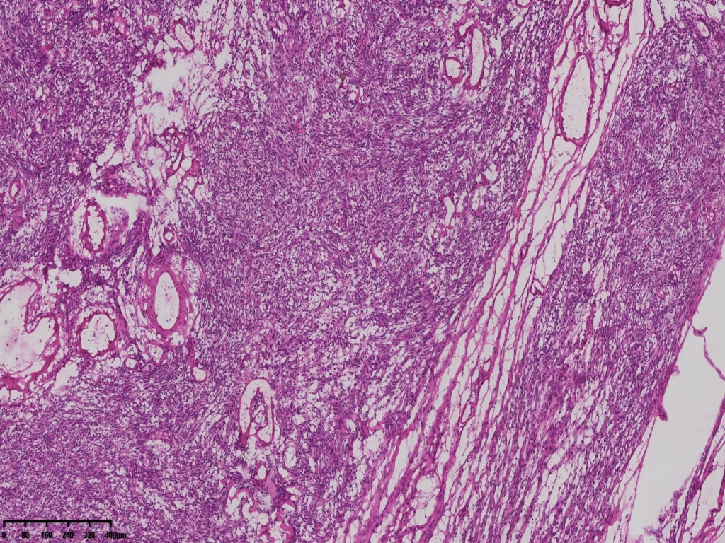
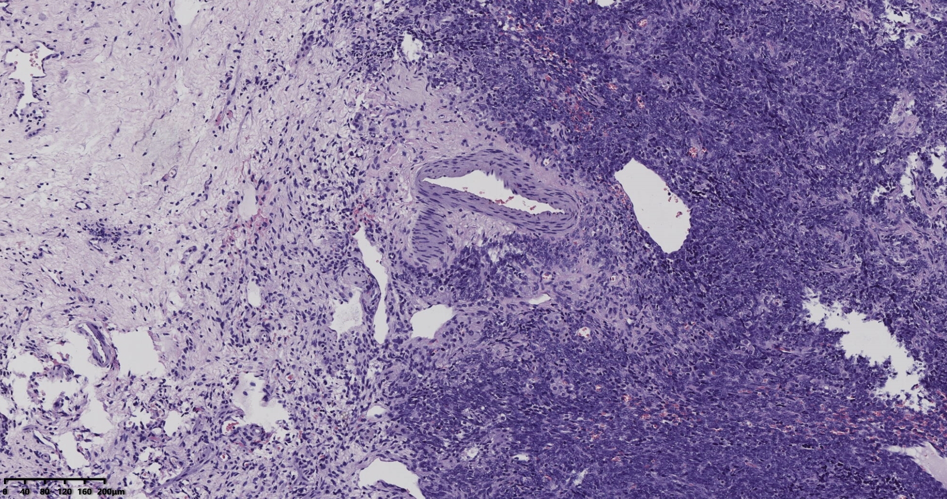
常规切片




考虑颗粒细胞瘤。
本文允许在互联网范围内转载,使用时请注明作者姓名、作品名称及作品来源。
我要评论
共0条评论