我的博文
子宫透明细胞癌?
2026-02-16 14:32
阅读(25)
评论(1)
分类:女性生殖系统子宫内膜
女、76岁,绝经后阴道排液2月余,出血数天。26840
大体标本可见子宫后壁靠近宫底可见一个突出内膜面的肿物,体积约3*2*2厘米,广基,切面灰白,实性,质地脆,其余内膜略粗糙。
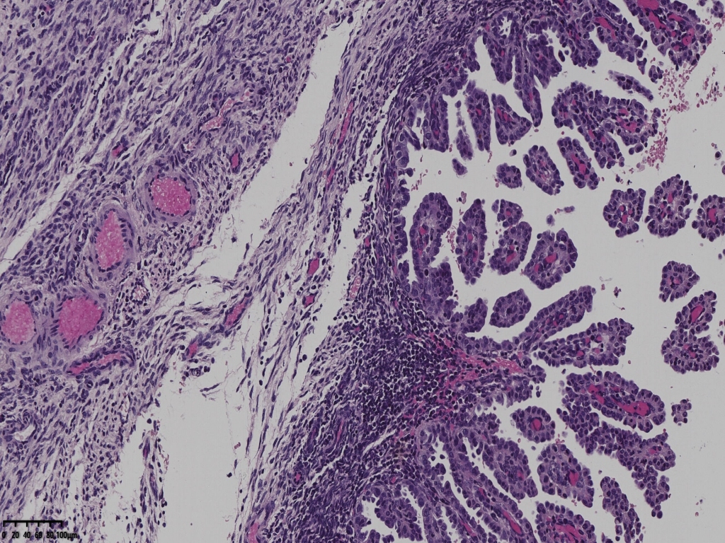
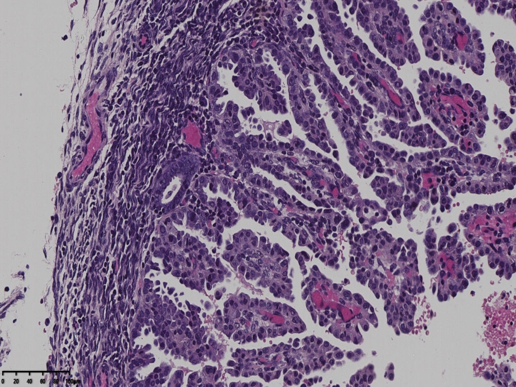
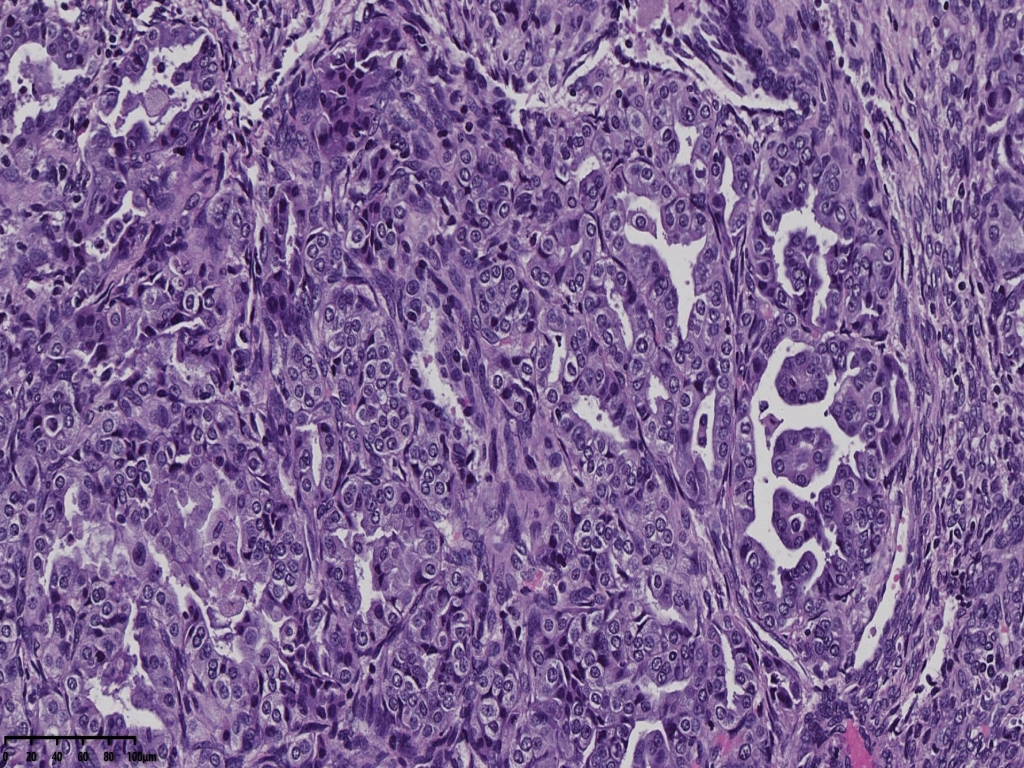
镜下可见肿物,腺样机构,密集,细胞异型



局部分区域腺体偏实性,细胞核大,周围胞浆空亮,会诊为子宫透明细胞癌,是不是就依据这一点?
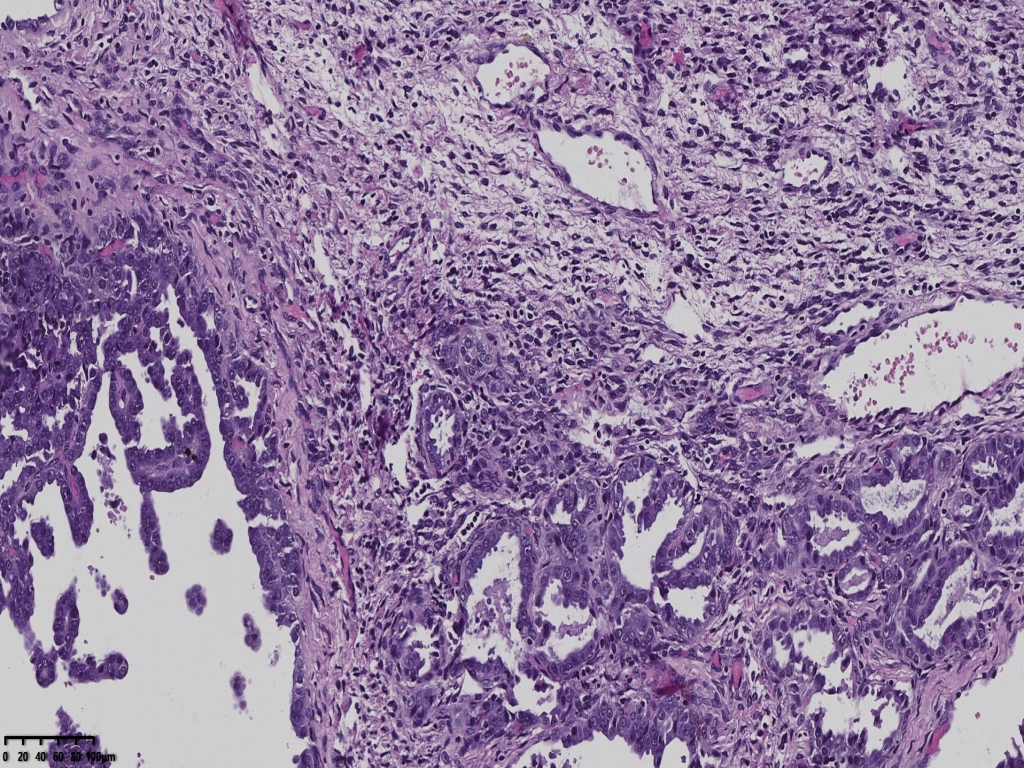
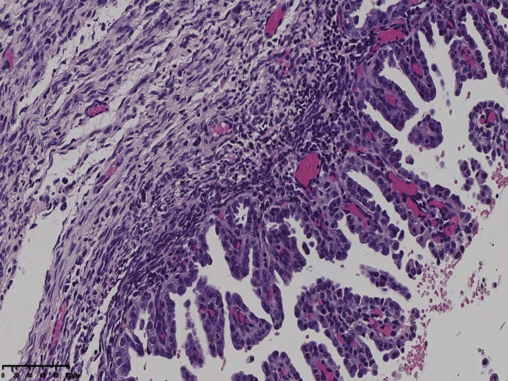
但是其余部位内膜可见微乳头结构。



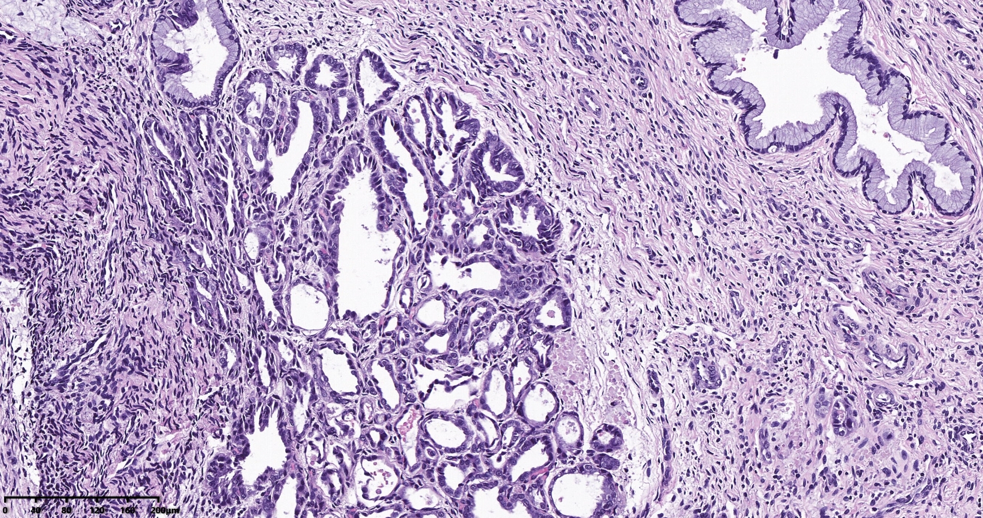
宫颈管及宫颈管可见癌组织侵犯浅层,以腺样结构为主

癌组织侵及子宫壁浅层,小于1/2,累及宫颈浅层。
本文允许在互联网范围内转载,使用时请注明作者姓名、作品名称及作品来源。
下一篇:右卵巢肿物
我要评论
共0条评论