我的博文
这个甲状腺肿瘤怎么看?
2025-12-02 09:26
阅读(56)
评论(1)
分类:甲状腺
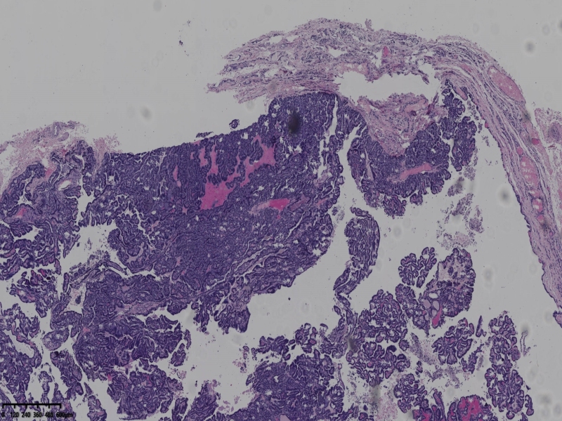
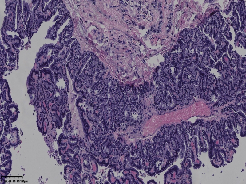
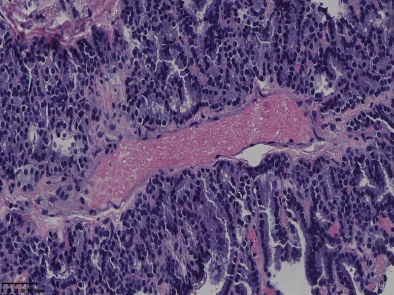
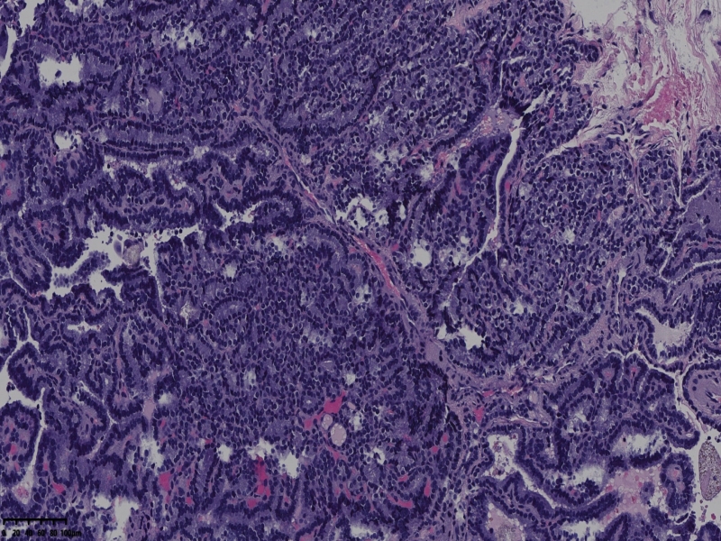
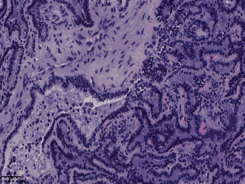
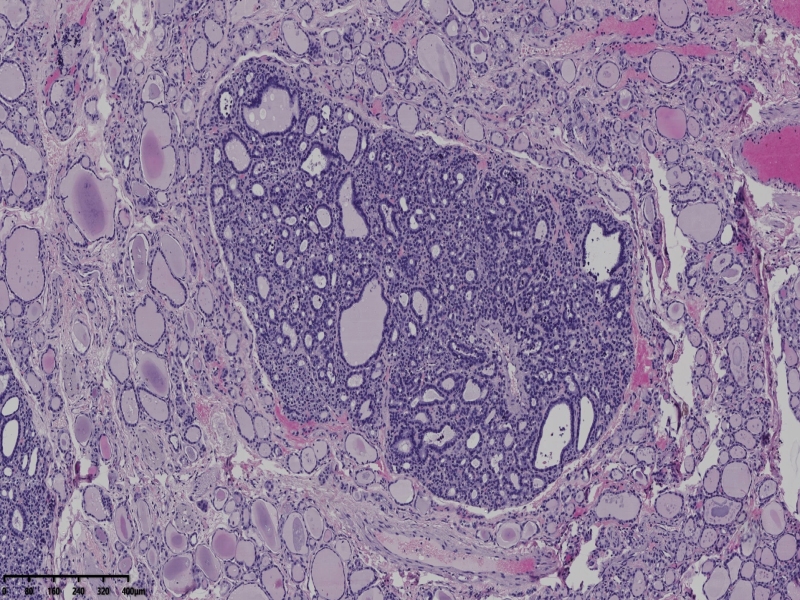
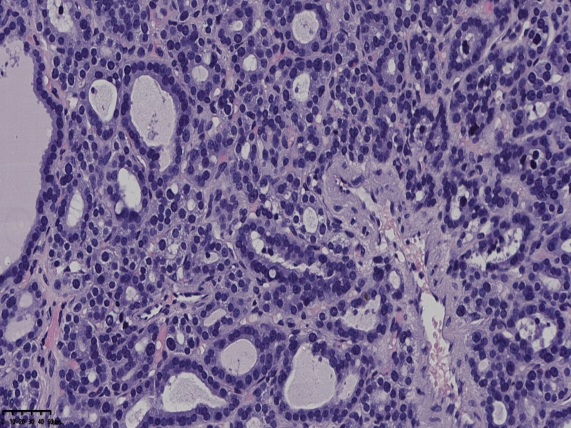
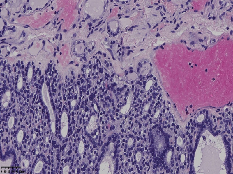
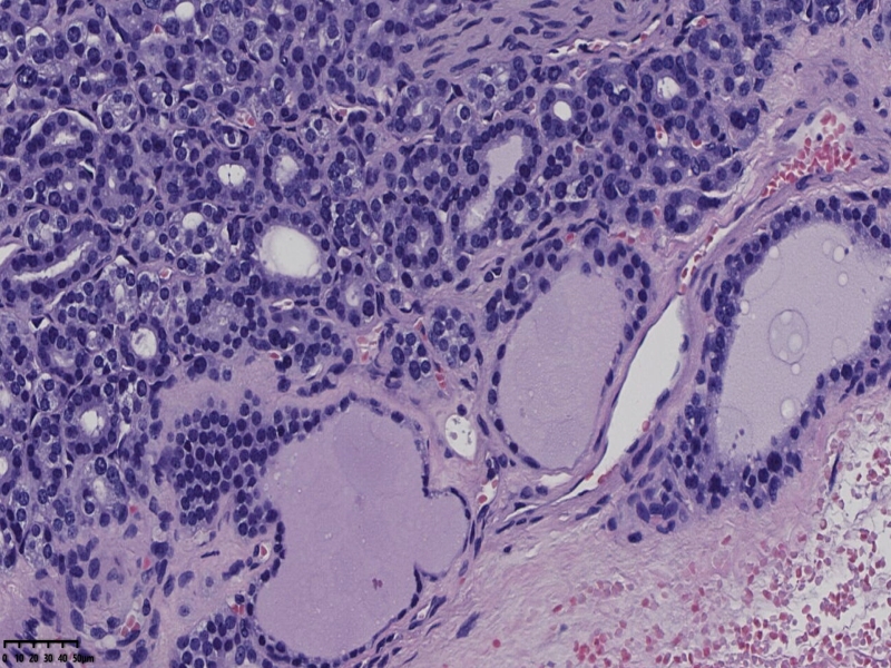
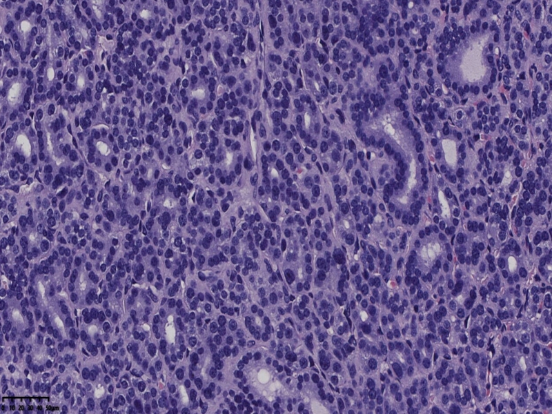
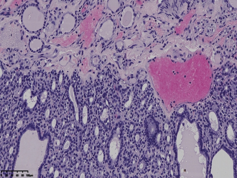
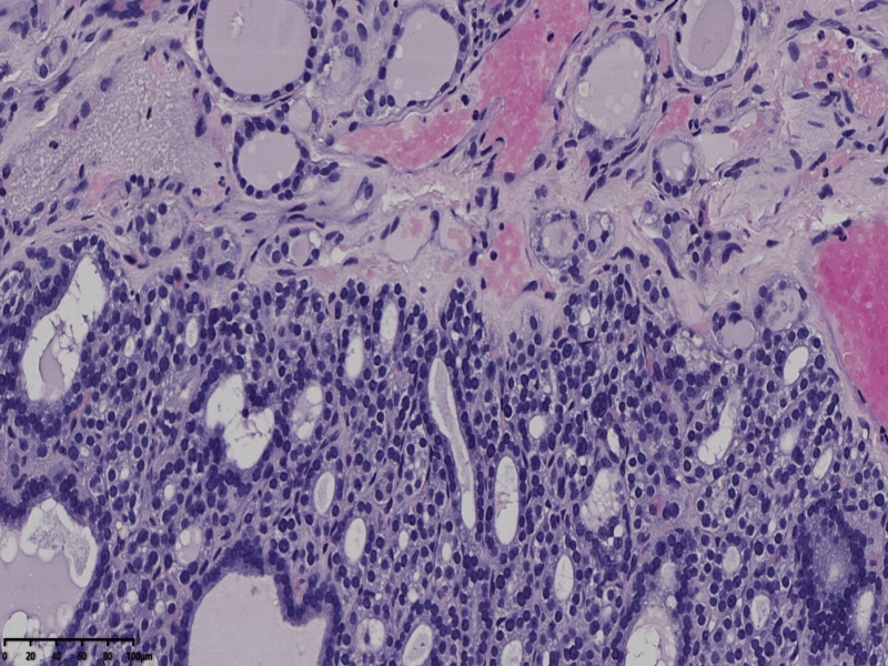
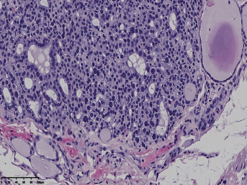
男、69、甲状腺左叶肿物,部分为囊性,囊内可见乳头状结构,上皮核重叠,没有核沟,没有毛玻璃样改变,没有核内假包涵体。255427







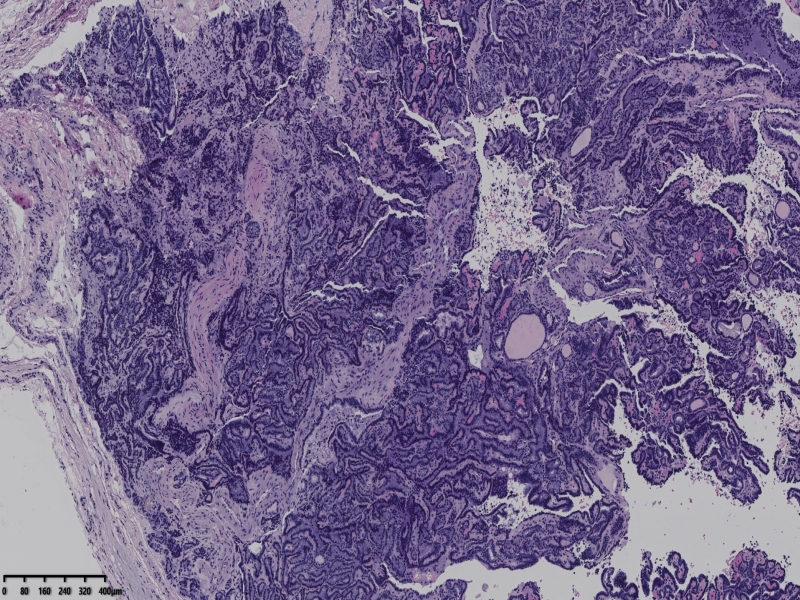
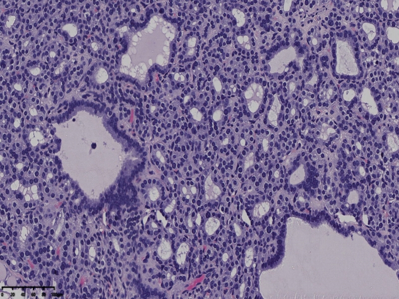
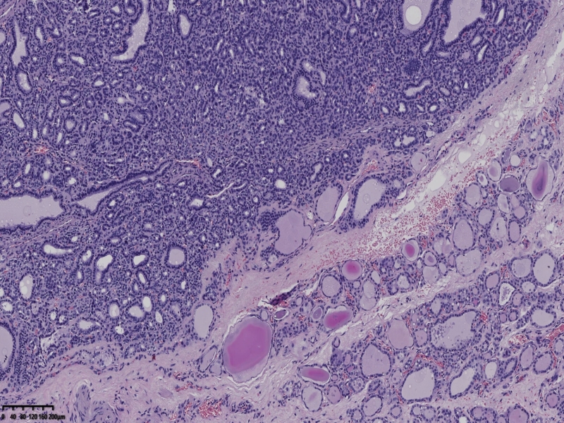
部分区域瘤组织与周围甲状腺组织分界明显,没有包膜样结构,滤泡结构为主,细胞异型明显。










会诊结果:(左叶甲状腺近峡部)甲状腺肿瘤,考虑为具有RAS核的乳头状癌,建议免疫组化及基因检测。
基因检测结果:良性。
本文允许在互联网范围内转载,使用时请注明作者姓名、作品名称及作品来源。
上一篇:子宫多发性平滑肌瘤伴肉瘤?
下一篇:如何消除切片中的裂隙
我要评论
共0条评论