网站首页
讨论
商家
教学
人才
书店
更多
分享
博客
会议
社区
文献
百科
我的病理工作札记
https://user.ipathology.cn/16029
首 页
博 文
相 册
讨 论
分 享
关于我
留言板
个人资料
帐号:一介凡夫
经验:68
粉蓝豆:137
访问:301947
粉丝:1
加好友
加关注
对话
博文分类
全部博文(196)
男性生殖系统(8)
女性生殖系统(9)
骨与关节(5)
皮肤(14)
软组织(6)
眼耳鼻喉(3)
甲状腺(9)
女性生殖系统子宫内膜(10)
胃(16)
女性生殖系统宫颈(13)
女性生殖系统胎盘(2)
大肠(6)
乳腺(7)
颅脑(5)
肺(9)
阑尾(4)
病理技术(6)
肝(3)
食管(4)
膀胱(5)
女性生殖系统卵巢(6)
小肠(6)
科普(3)
随感(13)
血管(1)
腮腺(2)
淋巴组织(1)
肾(3)
访客
上帝之城33
yy5481
1368692936
1353715293
04760476
ibuprofen
554825607
xhl827
lidong
最新评论
onlygao
2026-03-03
你是技术+阅片报告一肩挑啊?
onlygao
2026-03-03
蜡块在冻台上冻得程度、切片时
whyang315
2026-02-23
诊断透明细胞癌是可以理解的。
whyang315
2026-02-16
考虑:微囊性间质肿瘤?
whyang315
2025-12-02
考虑:甲状腺乳头状增生结节
whyang315
2025-09-28
同意意见二!
我的博文
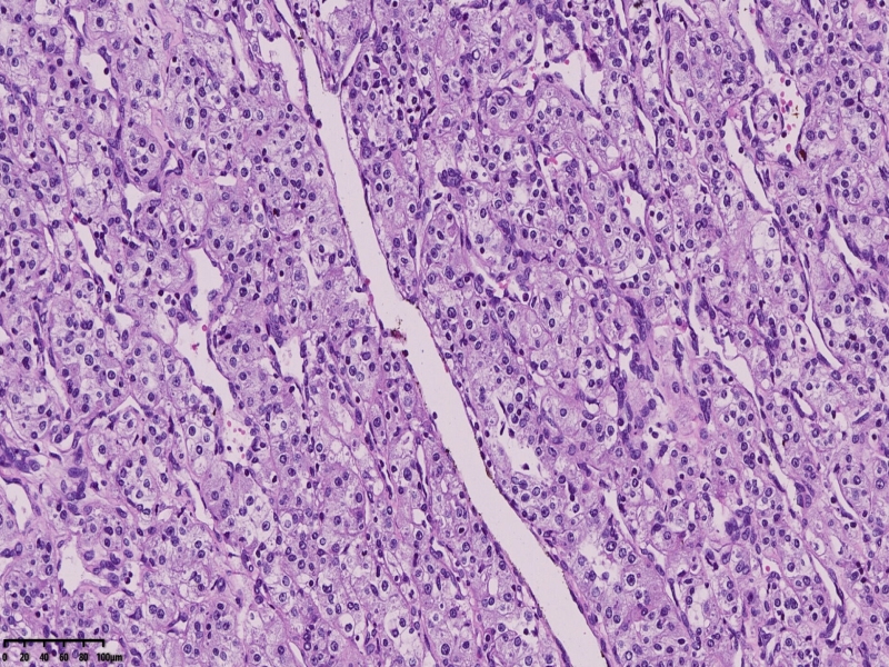
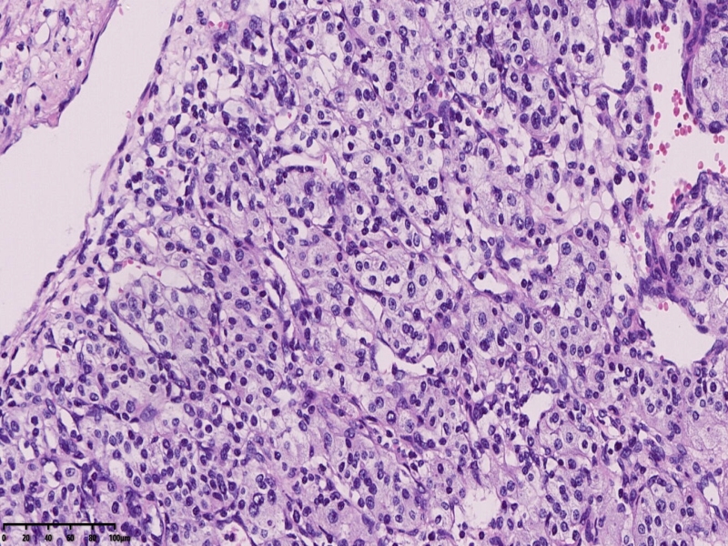
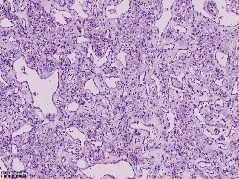
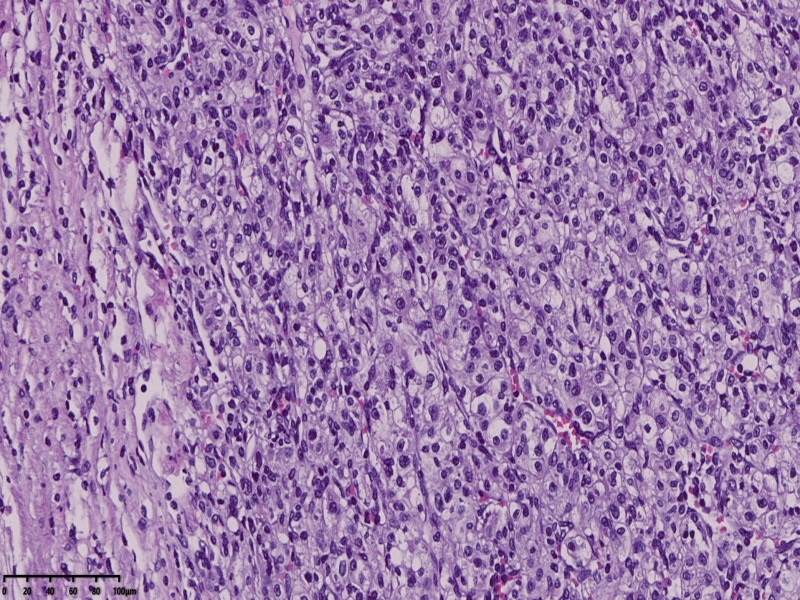
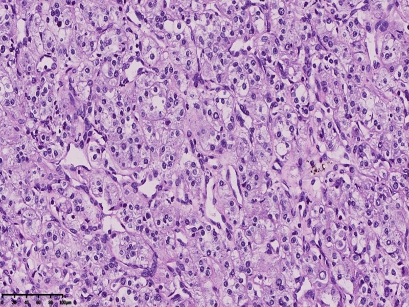
肾癌
2025-11-06 09:11 阅读(23) 评论(0) 分类:肾
这个病例取了25块。
镜下所见
本文允许在互联网范围内转载,使用时请注明作者姓名、作品名称及作品来源。
分享到:
更多
上一篇:
11、06
下一篇:
乳腺叶状肿瘤
我要评论
共
0
条评论
共0条评论