网站首页
讨论
商家
教学
人才
书店
更多
分享
博客
会议
社区
文献
百科
我的病理工作札记
https://user.ipathology.cn/16029
首 页
博 文
相 册
讨 论
分 享
关于我
留言板
个人资料
帐号:一介凡夫
经验:68
粉蓝豆:137
访问:266506
粉丝:1
加好友
加关注
对话
博文分类
全部博文(188)
男性生殖系统(7)
女性生殖系统(8)
骨与关节(5)
皮肤(14)
软组织(6)
眼耳鼻喉(3)
甲状腺(8)
女性生殖系统子宫内膜(9)
胃(16)
女性生殖系统宫颈(13)
女性生殖系统胎盘(2)
大肠(6)
乳腺(6)
颅脑(5)
肺(9)
阑尾(4)
病理技术(6)
肝(2)
食管(4)
膀胱(5)
女性生殖系统卵巢(5)
小肠(6)
科普(3)
随感(11)
血管(1)
腮腺(2)
淋巴组织(1)
肾(3)
访客
C82325432
美丽的女博
qinghaihuz
hzh001439
恶贯满盈
xiamu..442
zw78432751
纷纷俄方
子苑右手边
最新评论
whyang315
2025-09-28
同意意见二!
一介凡夫
2025-09-28
感谢老师点评。
一介凡夫
2025-09-28
NET-1
一介凡夫
2025-09-28
感谢老师点评。
一介凡夫
2025-09-28
感谢老师点评 。
kele324
2025-09-27
那些巢是食管导管,这一例炎症
我的博文
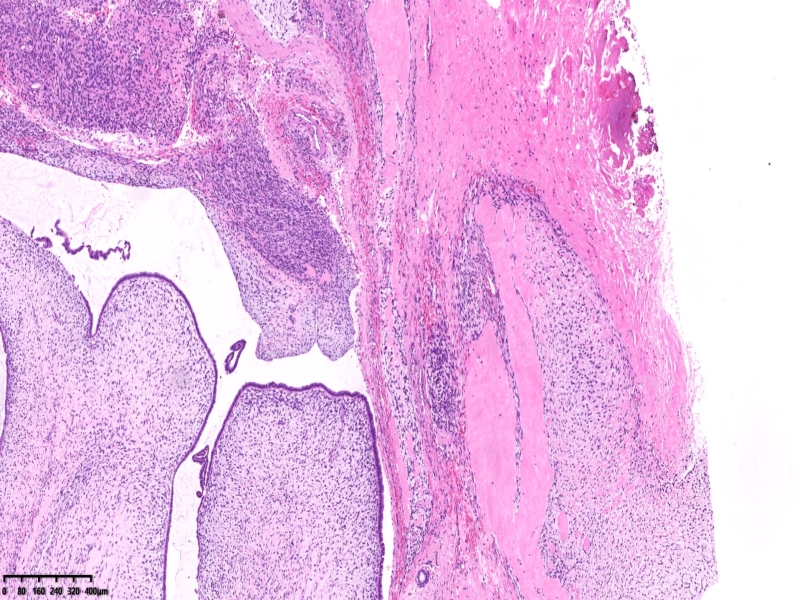
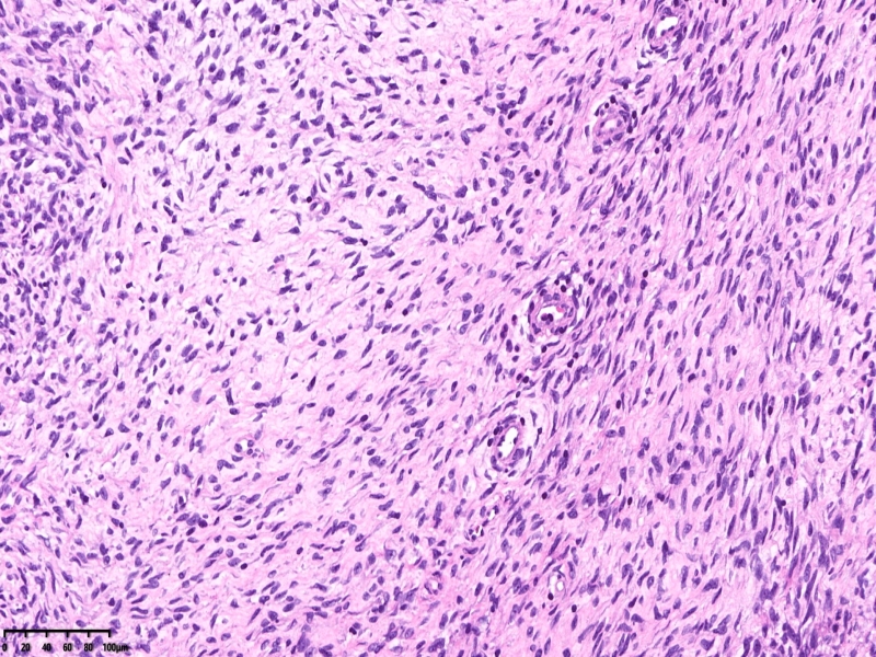
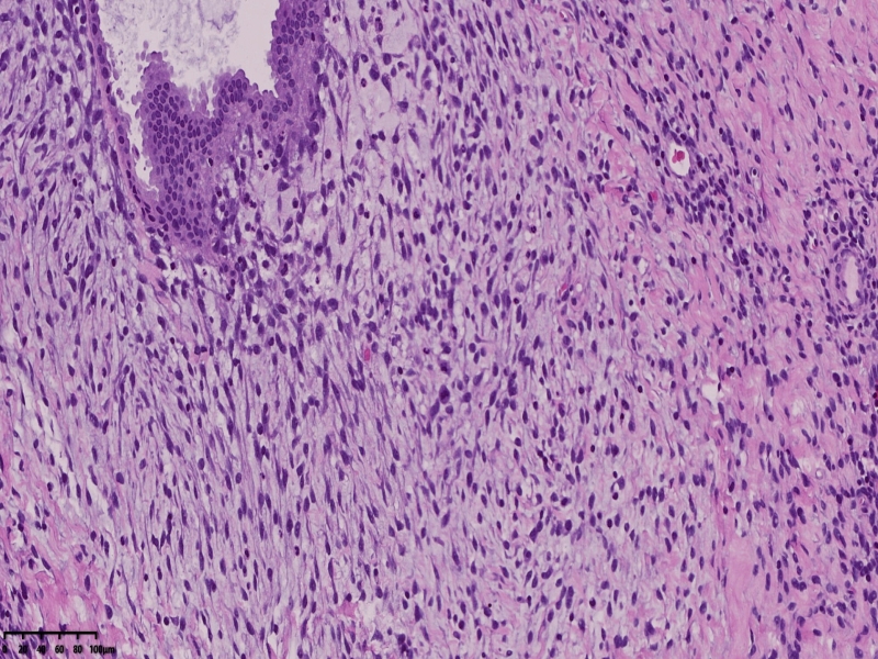
腺叶状肿瘤
2025-11-06 08:53 阅读(4) 评论(0) 分类:专业
患者女47,258081体积9*8*6厘米,目前遇到的最大的叶状肿瘤。
本文允许在互联网范围内转载,使用时请注明作者姓名、作品名称及作品来源。
分享到:
更多
上一篇:
肾癌
下一篇:
子宫平滑肌肉瘤?
我要评论
共
0
条评论
共0条评论