我的博文
牵手型病变?
2025-09-15 15:50
阅读(53)
评论(1)
分类:胃







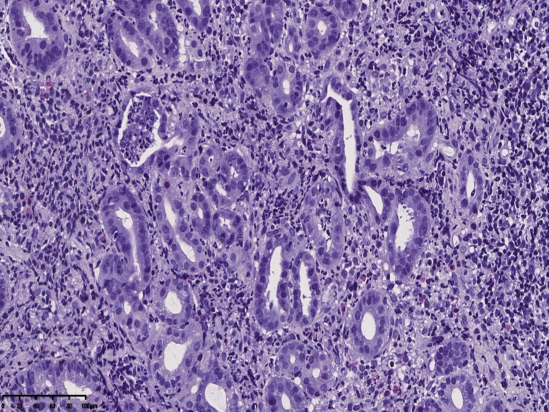
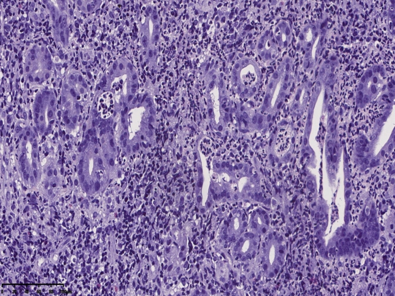
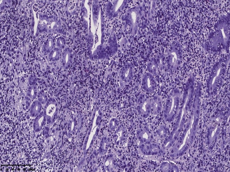
患者女性、44岁,主因腹痛入院,胃镜可见胃体局灶粘膜糜烂,活检1块。
镜下,胃体型粘膜组织,炎症明显,有活动性炎,部分腺体形态不规则,呈角,上皮细胞单层,有异型,但是炎性反应性增生也不除外。
对比牵手癌还是有差距,不够诊断。254320
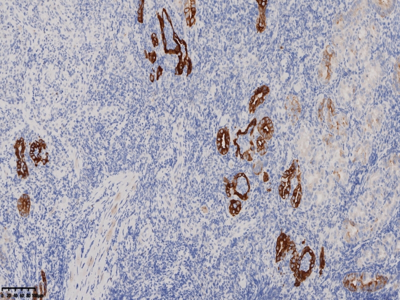
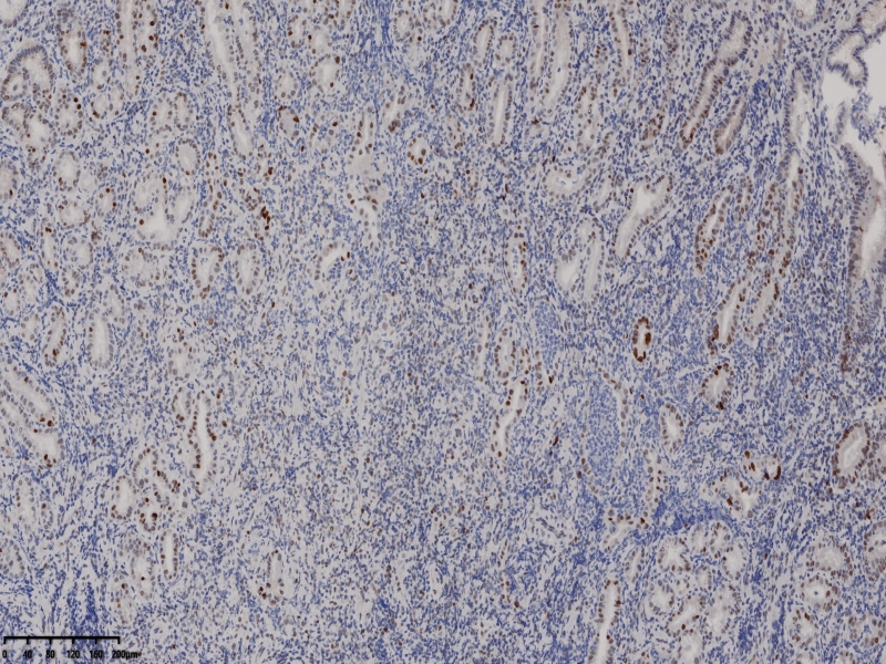
免疫组化常规片



CK7


MUC6
YP53

一位老师会诊意见
胃体:慢性胃炎,低级别上皮内瘤变,局灶腺体高级别上皮内瘤变伴畸形腺体(跳跃分
布),符合局灶黏膜内癌变(牵手癌);KI67:60%,CK7:部分+,CK20:表层腺体+,MUC5:
30%,MUC6:60%+,Villin5%,CDX-2 -,p53 60%,CEA 10%, SYN 散在+,10%;
建议:消化病理专家会诊。
牵手癌,存在过诊断和诊断不足,但是这个病例吧,还是请消化方面专家定论吧。
院外会诊结果(首都医科大学附属北京友谊医院)胃底腺胃粘膜组织中度活动性慢性炎,部分胃小凹上皮增生。HP(+)
本文允许在互联网范围内转载,使用时请注明作者姓名、作品名称及作品来源。
我要评论
共0条评论