我的博文
0201-02 口腔及口咽的炎性病变
回 章目录 | 回 总目录 |
二、口腔及口咽的炎性病变
(一)黏膜慢性炎 黏膜慢性炎( chronic inflammation of mucosa)主要由刺激食物、过锐的牙尖、不良的修复体以及不佳的口腔卫生引起,病变处上皮增生,表层可糜烂,重者可出现溃疡。上皮下纤维组织增生,伴有各种慢性炎症细胞浸润。 在腭部不良修复体及炎症刺激可引起黏膜上皮呈乳头状增生,为柔软无蒂的红色乳头状突起。 【光镜】 乳头表面被覆有复层鳞状上皮,表层可有角化或不全角化,乳头中心有结缔组织形成的轴,其中有较多炎细胞浸润。在牙龈可形成炎性增生物牙龈瘤,根据瘤内增生的组织成分不同,分为肉芽性牙龈瘤、纤维性牙龈瘤和血管性牙龈瘤三型,另有一型以纤维组织增生为主,伴有灶状多核巨细胞出现和少量慢性炎症细胞浸润的牙龈瘤,则称为巨细胞性牙龈瘤。覆盖在牙龈瘤表面的上皮可有溃疡形成。在纤维性牙龈瘤和巨细胞性牙龈瘤内,常有骨质化生。血管性牙龈瘤多见于妊娠妇女,所以也称为妊娠性牙龈瘤。 | ||
(二)口腔结核 口腔及口咽部黏膜原发结核(tuberculosis)少见,多伴有进行性呼吸道结核,特别是肺结核,光镜有典型的结核表现。 多为全身性肉芽肿性疾患侵犯颌面部,也可在颌面部 【光镜】 病变为坏死性肉芽肿性炎,伴有不同数量的 | ||
(三)放线菌病 放线菌病( actinomycosis)是指放线菌通过龋齿、黏膜或皮肤的创口,而侵入面颈部或其他部位,以面颈最多占50%,引起组织坏死,形成脓肿。脓液内有硫磺样颗粒,镜下为菌丝及菌体,切片可见菌体及其周围的炎细胞。 | ||
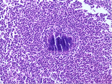
(四)结节病 结节病( sarcoidosis)多为全身性肉芽肿性疾患侵犯颌面部,也可在颌面部单发。多累及唇和颊黏膜,也可侵及牙龈、舌、腮腺。 【光镜】 可见上皮样细胞构成的肉芽肿性结节状病变,结节较一致,界限清楚。结节内可有多核巨细胞及薄壁小血管存在,无干酪样坏死。在多核巨细胞胞浆内有时可见星状小体及Schaumann小体,HE染色Schaumann小体为蓝紫色同心环层小体。结节周围纤维组织增生包绕,嗜银染色结节内外网织纤维增生明显。病变晚期肉芽肿结节可发生纤维化及玻璃样变。 结节病易与结核病混淆,前者有以下特点并与结核病鉴别:①患者X线上多有肺门或纵隔淋巴结肿大,肺内有实性结节型病变;②结核菌素试验大多阴性;③ 少数患者有高球蛋白、高钙血症、血管紧张素转换酶增高;④病理形态显示结节较规则,大小一致.结节内无干酪样坏死,可有薄壁小血管存在。多核巨细胞胞浆内有时可见星状小体及Schaumann小体。结节周较早出现纤维化,形成包裹。结节内网织纤维增生明显。病灶内抗酸染色阴性。 | ||
(五)肉芽肿性唇炎 肉芽肿性唇炎( cheilitis granulomatosa)多见于青春期之后,从唇之一侧开始发病,波及全唇,唇肿胀增厚呈巨唇,皮肤潮红,扪时可及结节,无指压性凹陷。 【光镜】 在淋巴管周围有上皮样细胞,淋巴细胞及浆细胞形成的结节,其内可有多核巨细胞存在。有时不形成结节,仅见组织中血管、淋巴管扩张,组织水肿,有灶状淋巴细胞浸润。 | ||
(六)Melkersson-Rosenthal综合征 儿童和青年人好发,无性别差异。此综合征是以肉芽肿性唇炎、面神经麻痹和沟纹舌三征组成。但三征常不同时出现,而肉芽肿性唇炎是 Melkersson-Rosenthal综合征的基本表现,若只有肉芽肿性唇炎,而缺乏其他二征时,则认为是此综合征的不全型。该综合征的口唇组织学改 变与肉芽肿性唇炎相同。 | ||
(七)Crohn's病 此病可累及口腔和口咽部,以唇部多发,多有肠道Crohn's病。口腔黏膜病变表现为淋巴管扩张,组织疏松水肿,并有上皮样细胞、淋巴细胞及浆细胞形成的 肉芽肿,其中可有多核巨细胞。从病理组织形态学上Crohn's病Melkersson-Rosenthal综合征及单发的肉芽肿性唇炎无法区别。 | ||
(八)Wegner肉芽肿 此病是好发于舌、龈、腭和口咽部的非特异性炎症,伴有坏死性血管炎,继而引起组织变性坏死,形成长时不愈的溃疡。 【光镜】病变为由组织细胞、嗜酸性粒细胞、多核巨细胞、中性粒细胞、淋巴细胞和浆细胞构成的坏死性、溃疡性肉芽肿。肉芽肿内有纤维组织增生,疤痕形成及坏死性血管炎。在血管周围有炎细胞浸润,血管内膜增厚,管腔闭塞,管壁发生纤维素样坏死。 当病变内有多量弥漫或灶状非典型淋巴细胞出现,并侵犯血管壁时,应与恶性淋巴瘤相鉴别。Wegner肉芽肿中有多核巨细胞存在,淋巴细胞分化成熟,分布松散,中性粒细胞数量多,必要对可借助免疫组织化学方法鉴别恶性淋巴瘤。 | ||
(九)溃疡性嗜酸性肉芽肿 溃疡性嗜酸性肉芽肿( ulcerous eosinophilic granulo-ma)也称Riga-Fede病或舌嗜酸细胞溃疡。可能是因舌肌受挤压损伤,引起嗜酸细胞性炎症反应增生,所以此病也称为创伤性肉芽肿。 | ||
(十)组织胞浆菌病 组织胞浆菌病( histoplasmosis)可发生于舌或口腔各部位,呈结节状,疣状或硬结性溃疡,病变为非特异性炎症,用Gomori methenamine-silver或PAS-Gridley特殊染色可帮助诊断。 | ||
(十一)念珠菌病 念珠菌病(candidiasis)是由白色念珠菌引起,口或口咽部黏膜均可受累,多因婴幼儿营养不良,或因重症疾病如糖尿病、血液病、恶性肿瘤,以及长 期使用广谱抗生素者可引发。临床分为急性假膜性念珠菌病,也称鹅口疮;慢性增生性念珠菌病,或称白斑型念珠菌病;慢性萎缩性念珠菌病,即托牙性口炎三类。 病理表现为念珠菌侵入黏膜,引起黏膜上皮增生,在角化层内有中性粒细胞浸润灶,在角化层和上皮表层内可见念珠菌丝。菌丝HE染色不甚清楚,PAS染色菌丝 呈阳性,上皮下结缔组织中有血管充血和各种炎细胞浸润。 |
我要评论

共0条评论