我的博文

儿童和青少年低分化甲状腺癌:一个以DICER1突变为特征的疾病

2021-09-04 09:27  阅读(796)  评论(0)  分类:内分泌系统

发生于年轻患者的低分化甲状腺癌(Poorly differentiated thyroid carcinomas,PDTC)比较少见,其临床和组织病理学特征、遗传学机制和预后在很大程度上仍然未知。作者Chernock等于2020年在《Mod Patho》杂志发表了题为《Poorly differentiated thyroid carcinoma of childhood and adolescence: A distinct entity characterized by DICER1 mutations》的文章。


文中对6例≤21岁PDTC患者的临床病理学特征进行了描述,并使用靶向下一代测序(NGS)和全外显子组测序研究甲状腺癌的突变和基因融合特征。显微镜下,所有肿瘤均呈实性、岛状或小梁状生长,核分裂象高,6例肿瘤中有5例出现肿瘤性坏死。靶向NGS对5例肿瘤进行了DICER1基因的体细胞“热点”突变的鉴定。这5例均进行了全外显子组测序,证实了所有热点突变,并检测到2例肿瘤伴有额外的失活DICER1改变。在这两例病例中,一个是胚系致病性的DICER1变异体,另一个是DICER1杂合性缺失。未检测到成人高分化甲状腺癌和低分化甲状腺癌(BRAF、RAS、TERT、)RET/PTC和其他)特有的突变或基因融合。对5名患者进行随访,3名患者在诊断后824个月死于疾病,而2名患者无疾病存活。


文中的研究结果表明,儿童和青少年发病的PDTC与成人的PDTC在基因上是不同的,因为他们与DICER1突变密切相关,并可能预示着少数存在DICER1综合征。


因此,所有发生于年轻人的PDTC患者都可以从基因咨询中受益。此外,他们的临床侵袭性行为与迄今为止报道的绝大多

数具有DICER1突变的甲状腺肿瘤的惰性形成鲜明对比。


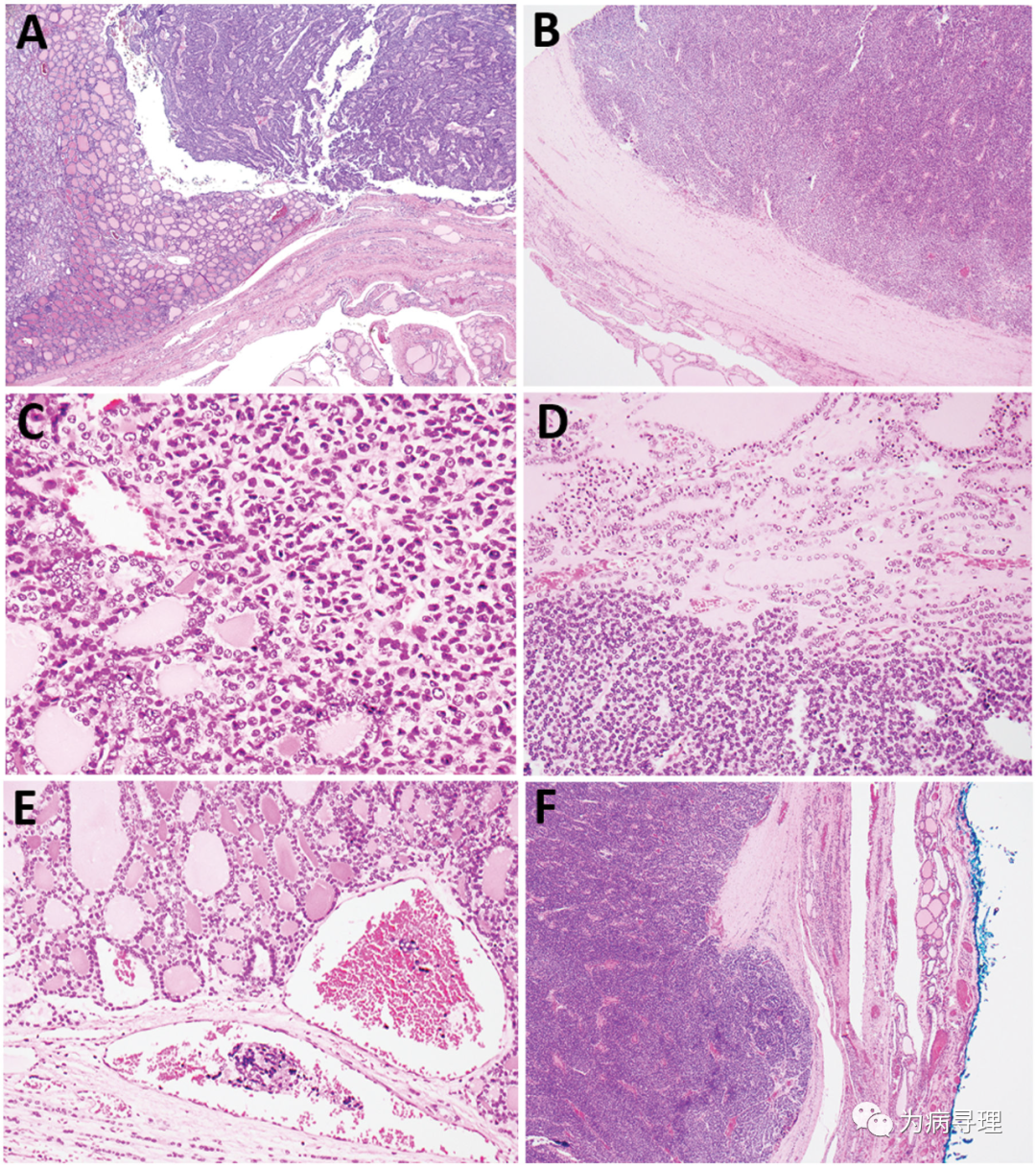
图片

图1:儿童低分化甲状腺癌常规HE染色显示实性(A)、岛状 (C) 和小梁状(E)生长模式。存在有核分裂象(A)和坏死 (C) 。病例1中甲状腺外延伸伴有肌肉内侵犯(B)、血管侵犯(D)和阳性边缘(F)。只有3例死亡病例显示甲状腺外延伸和阳性边缘,而所有病例均有淋巴血管侵犯。

Fig 1. Representative routine hematoxylin and eosin stained images of pediatric poorly differentiated thyroid carcinomas showing solid (A), insular (C) and trabecular (E) growth patterns. Mitotic activity (A) and necrosis (C) are present. Extrathyroidal extension with strap muscle invasion (B), vascular invasion (D) and positive margins (F) in Case 1. Only the 3 lethal cases showed extrathyroidal extension and positive margins, whereas lymphovascular invasion was present in all cases.

图片

图2:病例3和病例6均显示包裹性滤泡型甲状腺乳头状癌中出现低分化甲状腺癌。在病例3 (A)中,低分化成分是局灶(右上),而在病例6 (B)中是广泛的。病例3 (C)和病例6 (D)显示了甲状腺乳头状癌和低分化成分之间的过渡区。病例3被完全包裹,但显示淋巴血管浸润。病例6显示除淋巴血管侵犯外,还有包膜侵犯。

Fig 2. Both Case 3 and Case 6 showed poorly differentiated thyroid carcinomas arising in encapsulated follicular variant of papillary thyroid carcinoma. In Case 3 (A), the poorly differentiated component was focal (top right), whereas in Case 6 (B), it was extensive. Transition zones between papillary thyroid carcinoma and the poorly differentiated component are shown for Case 3 (C) and Case 6 (D). Case 3 was completely encapsulated but showed lymphovascular invasion (E). Case 6 showed capsular invasion (F) in addition to lymphovascular invasion.


 

我要评论

0条评论