个人资料

最新评论

我的博文

于励民讲课笔记 | 汗腺肿瘤之大汗腺良性瘤

2016-01-30 10:33 阅读(2390) 评论(2) 分类:学习

1月23日,有幸聆听于励民老师的在线讲堂,讲课主题为《汗腺肿瘤》,内容精彩,突出重点,用几个精练的话或短句,再加上形象生动的图片以及记忆小窍门,更好地便于学习和记忆。老师不仅是皮肤病理学专家,而且计算机应用也是想当的得心应手,曾制作过系列教学视频“皮肤病理那些事”,感谢老师的精彩讲座,也感谢华夏病理网及时微信分享老师的讲座学习笔记,留存以便学习和温习。


汗腺肿瘤分为三大类:小汗腺良性瘤、大汗腺良性瘤、汗腺恶性癌。这篇我们一同来学习“大汗腺良性瘤”。

汗腺分为两类:

大汗腺:在皮脂腺开口的上方开口于毛囊。

小汗腺:多在表皮内呈螺旋状直行,开口于皮肤表面。

组织学区分:

大汗腺:断头分泌、与毛囊皮脂腺相通、胞浆内的嗜酸颗粒。

小汗腺:alpha-smooth muscle actin: 分泌腺周的肌上皮阳性,导管周围无肌上皮。 


大小汗腺的导管相同。


很多时候,依靠组织学区分大、小汗腺是很困难的。组织学和免疫组化可以可靠地把小汗腺和大汗腺区分开来。接下来分为三大类来讲:小汗腺良性瘤、大汗腺良性瘤、汗腺恶性癌。先学习小汗腺良性瘤。

小汗腺良性瘤

一、小汗腺圆柱瘤 (Eccrine Cylindroma)


临床特点:

1、多发于中老年女性;

2、好发于头皮、面、颈部;

3、生长缓慢,常无自觉症状;

4、可单发或多发(Brooke-Spiegler Syndrome);

5、肿瘤呈结节状,直径数毫米至数厘米不等。


病理改变:

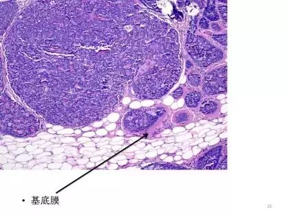
1、瘤体由形状大小不一的瘤细胞团块组成,形成拼图(七巧板样,或鹅卵石路样)结构。

2、瘤团由明显的基底膜包绕。

3、瘤团內有小管样结构。

4、瘤细胞可分两类: 一类细胞核小、色深,排列在瘤团周边。另一类细胞位于瘤体中央,染色较轻浅。

于励民讲课笔记 | 汗腺肿瘤之大汗腺良性瘤

于励民讲课笔记 | 汗腺肿瘤之大汗腺良性瘤

于励民讲课笔记 | 汗腺肿瘤之大汗腺良性瘤


二、小汗腺螺旋腺瘤(Eccrine Spiradenoma)

临床特点:

1、好发于头、颈、躯干部。

2、<1cm肤色圆形或椭圆形皮下结节。

3、可单发或多发(Brooke-Spiegler Syndrome)。


病理改变:

1、瘤体位于真皮深层,由多个或单个小叶组成,与表皮不相连。

2、瘤细胞分两类:

在小叶周边:核小深染、圆形,多,可呈栅状排列。

小叶中央:核大、淡染。

3、瘤内可见小汗腺导管结构。

4、瘤体淋巴细胞浸润。

于励民讲课笔记 | 汗腺肿瘤之大汗腺良性瘤

于励民讲课笔记 | 汗腺肿瘤之大汗腺良性瘤

于励民讲课笔记 | 汗腺肿瘤之大汗腺良性瘤

需要考虑的鉴别诊断:血管球瘤(Glomus Tumor)

1、单发的紫色,有痛感的皮肤肿瘤,多在手指和脚趾

2、真皮内边界清或有包膜的肿瘤。 

3、血管球细胞圆形或椭圆形,细胞之间的界限清。 

4、有或多或少的血管。

5、CD31,CD34阴性,SMA阳性。


瘤周增厚的基底膜是非特征性的改变,可见于多种肿瘤。


三、汗管瘤( Syringoma)

临床特点:

1、多发于下眼险、面部。

2、皮损为小的皮下结节,多发,密集而不融合。


病理改变:

1、真皮内可见多数蝌蚪样导管、小囊腔及由上皮细胞组成的小细胞团。

2、导管和囊腔有两层细胞组成。

3、瘤细胞呈多角形或扁平状,胞浆嗜酸性或透明,胞核深染.无核分裂相及细胞异型性。

于励民讲课笔记 | 汗腺肿瘤之大汗腺良性瘤

于励民讲课笔记 | 汗腺肿瘤之大汗腺良性瘤


四、小汗腺汗孔瘤(Eccrine Poroma)

临床特点:

1、多发生于40 岁以上成人,男女发病率相等。

2、好发与手掌和脚掌。

3、皮损呈淡红色,表面光滑结节,高出皮肤

4、一般为单发,无症状。


病理改变:

1、起源于末端汗管。

2、肿瘤由表皮底部向下成束或团生长。瘤体边界清,与周围组织有明显变化。

3、瘤细胞较棘细胞小,胞核圆而深染。有细胞间桥互相连接。

4、瘤内可见向小汗腺导管分化的结构。

于励民讲课笔记 | 汗腺肿瘤之大汗腺良性瘤

于励民讲课笔记 | 汗腺肿瘤之大汗腺良性瘤


五、单纯性汗腺棘皮瘤 (Hidroacanthoma simplex)

病理改变:

1、瘤细胞团仅位于真皮内成,巢状排列,境界清楚。

2、巢内可见由嗜伊红小皮围成的管腔。

于励民讲课笔记 | 汗腺肿瘤之大汗腺良性瘤

形状如同灯笼

于励民讲课笔记 | 汗腺肿瘤之大汗腺良性瘤

Borst-Jadassohn 现象,于老师幽默地称之为BeiJing(北京)印象

想到北京天安门上的灯笼,就想到了Borst-Jadassohn的特点。


以下几种肿瘤都可以表现为北京印象:

(1)单纯性汗腺棘皮瘤 (Hidroacanthoma simplex) 

(2)克隆性脂溢性角化病(Clonal seborrheic keratosis) 

(3)原位鳞癌(SCCIS, 鲍恩病)

(4)黑色素瘤

(5)汗腺癌


真皮导管瘤 (Dermal duct tumor) 与单纯性汗腺棘皮瘤、、汗孔瘤很相似,现在来学习一下他们的区别:


真皮导管瘤 (Dermal duct tumor) 

1、瘤体位于真皮. 与表皮少或无连接。

2、为大小不等、形状不一的上皮样细胞索和团。

3、瘤体内常有汗管贯穿。


汗孔瘤样(Poroid)

1、表皮內:单纯性汗腺棘皮瘤 (Hidroacanthoma simplex) 

2、表皮和浅表真皮:小汗腺汗孔瘤(Eccrine Poroma)

3、真皮內:真皮导管瘤 (Dermal duct tumor) 


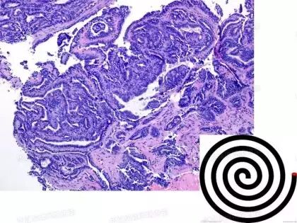
六、乳头状汗腺腺瘤 (Hidradenoma Papilliferum)

临床特点:

1、青年以上妇女(> 20岁)。偶见于男性。 

2、好发于阴唇,会阴部、肛周,偶见其他部位。

3、皮损为单发皮下结节,略高出皮面。

4、无症状。


病理改变:

1、瘤体位于真皮,与表皮常不或少连接。 

2、肿瘤界限清。肿瘤内呈梁状或囊性结构,小梁在囊内交织,向内形成许多乳头状突起。

3、乳头状突起和囊腔上皮有两层细胞:

内层高柱状,核较大,胞质嗜伊红性,常示断头分泌。

外层较小,深染。 

6、偶有轻度核异型性,核丝分裂相。

于励民讲课笔记 | 汗腺肿瘤之大汗腺良性瘤

如同蚊香一样生长


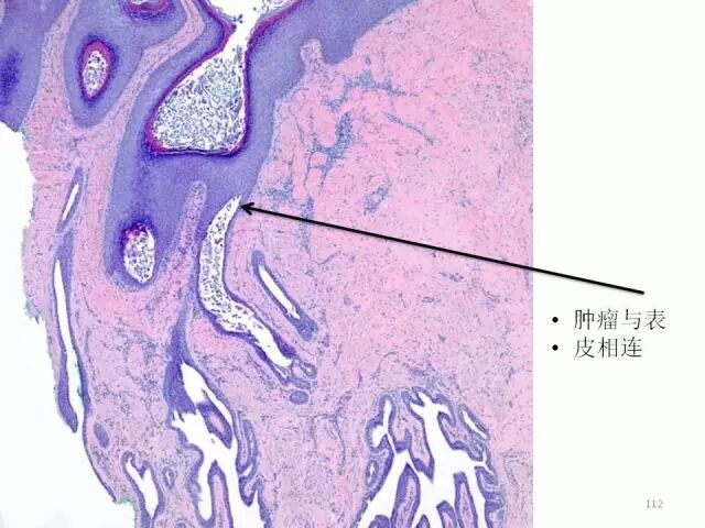
七、乳头状汗管囊腺瘤 (Syringocystadenoma Papilliferum)

临床特点:

1、生时即有或多发于幼年,男性稍多。

2、好发于头皮及面颈部,可与皮脂腺痣伴发。

3、常为单发皮损,初起为角化性结节,青春期增大,可至2cm-3cm。


病理改变:

1、真皮内数个囊样凹陷,开口皮面, 囊腔上皮与表皮鳞状上皮相连。

2、腺腔内可见绒毛状突起。腔壁及绒毛状突起常由二层细胞组成,内层为高柱状细胞,核卵圆形,胞浆弱嗜酸性,可见断头分泌,外层为小立方细胞,核圆,胞浆少。

3、基质中有大量浆细胞浸润。

4、常可见于皮脂腺痣。

于励民讲课笔记 | 汗腺肿瘤之大汗腺良性瘤
于励民讲课笔记 | 汗腺肿瘤之大汗腺良性瘤


大汗腺良性瘤

一、管状大汗腺腺瘤

临床特点:

1、本病罕见。

2、常发于头皮,腋部,颊部,和乳房。

3、多为单发。皮损边界清楚,呈结节状,表面光滑。

病理改变:

1、瘤体位于真皮及皮下,呈分叶状。

2、内有很多扩张并分支的不规则形导管状结构,可与表皮相连。

3、管壁增厚可有乳头状上皮突伸入腔内。

4、导管壁衬以两层上皮细胞:内层的柱状细胞和外层的立方形或扁平细胞。可见可见断头分泌。

5、间质中有淋巴细胞和浆细胞浸润。

6、瘤细胞团周围可见扩张的大汗腺。


二、大汗腺腺瘤

临床特点:

1、成人多见,也可见于儿童。

2、可发生于任何部位,但头颈部多见。

3、单反实性或囊性结节。

病理改变:

1、真皮内边界清晰多叶性肿瘤,有实性和囊性结构。

2、双相细胞,鳞样细胞和透明细胞。不同肿瘤中,比例差别很大。 

3、瘤体中有汗腺小管结构。


三、乳头靡烂性腺瘤病

临床特点:

1、多发于中年女性。50-59岁最多见。

2、好发于乳头,尤其乳晕周围。

3、皮损为境界不清的团块,若侵犯到乳头可形成湿疹样改变。

4、临床怀疑乳腺Paget’s 病。 

病理改变:

1、乳头下方真皮内边界清晰的小腺体增生肿瘤。

2、瘤体与表皮相连。

3、增生的腺体似乎排列成结节状。

4、腺腔样结构中可见导管上皮细胞增生形成的乳头状突起,无真正乳房小叶间的基质,有时可见断头分泌。

5、瘤体由两层细胞组成:内层由基底样细胞组成的细胞巢和细胞索,细胞核圆,细胞大小一致,无异型性,外层是一层肌上皮细胞。

于励民讲课笔记 | 汗腺肿瘤之大汗腺良性瘤

于励民讲课笔记 | 汗腺肿瘤之大汗腺良性瘤


四、良性皮肤混合瘤

又称软骨样汗管瘤(Chondroid syringoma)。

临床特点:

1、多发于20-40岁成人。

2、好发于头、颈及面部

3、皮损为单发皮内或皮下坚实结节,表面皮色正常、光滑、无破溃。

病理改变:

1、瘤体边界清晰,位于真皮或皮下,偶见与表皮相连。

2、肿瘤有上皮和间质两种成分组成

3、上皮成分呈实性,管状,囊状生长。

4、间质可呈纤维化、粘液样、软骨样等。

5、钙化不罕见。 

于励民讲课笔记 | 汗腺肿瘤之大汗腺良性瘤

于励民讲课笔记 | 汗腺肿瘤之大汗腺良性瘤


五、汗囊瘤

病理改变:

1、真皮中见一个或数个扩大的囊肿。

2、囊壁可有乳头状突起。

3、囊壁由二层细胞组成,内层为高柱状,分泌细胞顶端示断头分泌。

4、外层肌上皮细胞呈立方形或梭形。

于励民讲课笔记 | 汗腺肿瘤之大汗腺良性瘤

于励民讲课笔记 | 汗腺肿瘤之大汗腺良性瘤

偶有乳头状生长



 

我要评论

loading...

0条评论