我的博文
患者家属投诉我,我却成了他的“朋友”
患者家属投诉我,我却成了他的“朋友”
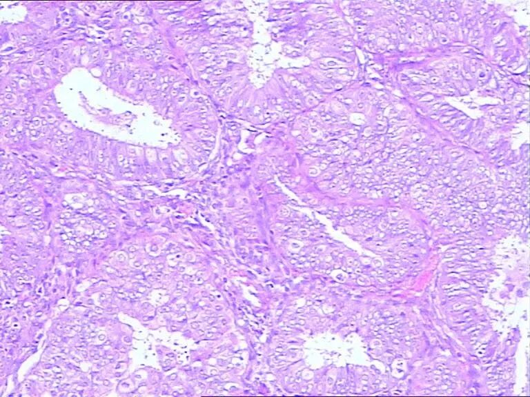
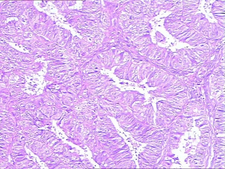
山东省德州市中医院 | 徐连泉 患者家属投诉我 我却成了他的“朋友” 由于种种原因,近年来,医患关系越发紧张。患者或其家属动辄就将医生投诉,病理医生也未能幸免。 而我,却因为患者家属的一次投诉,竟成了对方的“朋友”。 三年前,38岁的患者王某因不规则阴道流血3个月来我院妇科就诊。彩超显示其宫腔内膜增厚,遂刮宫送检。 切片出来后,我在显微镜下仔细观察分析,发现大部分腺体显著密集,大小不等,个别呈筛状,上皮细胞大多失去极性,轻-中度异型,可见核仁及核分裂像,间质稀少,部分消失。最后签发病理报告: (宫腔)高分化子宫内膜样腺癌 报告发出后,妇科医生便着手给王某准备手术,而王某的家属却非要先借片去省级医院会诊。 这当然无可厚非,我也同意。但在办理借片手续时,我按有关规定请借片人也就是王某的丈夫交纳100元的押金,等还切片时凭押金收条退回押金。 但是,他拒绝了!他认为片子本来就是用他媳妇身上的肉做出来的,凭啥不能给他,还非要交押金才能借片子? 我很无奈,说:这是国家及省里的有关文件规定的。并找出相关的文件给他看。然而,他根本不看,只说交押金还必须还片子就是不行,否则就投诉我。 果然,不一会儿,我就接到了医院医务科的电话,说有人把我投诉到了市长热线12345,让我去医务科给予答复。无奈,我只得赶紧带着国家卫生计生委及原山东省卫生厅(山东省卫生计生委)发布的相关文件去找医务科长。 国家卫生计生委和国家中医药管理局联合发布的《医疗机构病历管理规定(2013年版)》以及原山东省卫生厅发布的《山东省临床病理诊断与技术操作规程(试行)》中规定: 既然是“借,”就必须有“还”。如何保证病人及时归还切片?通常就是让借片者交纳一定数额的押金,并留下借片者的身份信息及联系电话。借片者非患者本人时,其须同时出示患者的身份信息,并一起留下。 看到国家及省里的相关文件,医务科长也只能按相关文件办事,如实回复12345。12345让患者家属遵从相关文件的规定。 最终他交纳押金,借走切片。 第二天,省里的会诊报告出来了,是:(宫腔)子宫内膜非典型增生,建议一月后复查。 一月后,患者的阴道仍然流血,她就直接去了上次会诊的那家省级医院。在那里,她再刮宫送检,病理诊断为子宫内膜样腺癌。 患者当即就入院做了手术,术后病理检查发现,宫腔内的癌组织已侵及子宫肌层。 还切片时,患者的丈夫再无原先的满脸怒气,不仅为他早先的行为表示道歉,还非要请我吃饭,要和我交“朋友”。 在我的询问下,他将媳妇去省里会诊、在家等待、去省里复诊、再刮宫送检以及手术治疗的整个过程详细的讲与我听。说是早信我的诊断早手术就好了。 当然,作为一名医生。治病救人是我的职责,饭,自然是不会去吃的。 此后,他还真就把我当成了“朋友”,每当他及他的家人甚至他的亲戚、朋友身体出现了什么病症,首先想到的就是向我咨询。 需要门诊或住院治疗的,全都首先来我们医院。我也的确感到了“麻烦”,但这样的“麻烦”却也让我内心感到一丝的欣慰: 还有什么能比患者对自己的信任更高兴呢! 文字由徐连泉原创,部分图片来源于网络,版权归病理大师所有。
我要评论

共0条评论